Swine
-
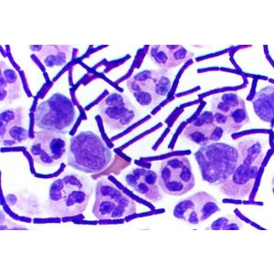
Gram staining is a type of differential staining used in Bacteriology to perform a first approach to bacterial differentiation; Gram-positive bacteria are considered to be those that are visualized in purple color, and Gram-negative bacteria are considered to be those that are visualized in pink color.











